Skip to content
ცხელი ხაზი 264 41 01sales@yoursite.com

ცხელი ხაზი 264 41 01

Search:
ძებნა
Facebook page opens in new window
Georgian Medical Systems
სამედიცინო დანადგარებისა და აღჭურვილობის დისტრიბუტორი კომპანია
Georgian Medical SystemsGeorgian Medical Systems
  • მთავარი
  • კომპანია
    • კომპანიის მოვლენები
    • კორპორაციული გაზეთი
  • სიახლეები
  • პარტნიორები
  • ლექსიკონი
  • კონტაქტი
  • მთავარი
  • კომპანია
    • კომპანიის მოვლენები
    • კორპორაციული გაზეთი
  • სიახლეები
  • პარტნიორები
  • ლექსიკონი
  • კონტაქტი

05/12/2013

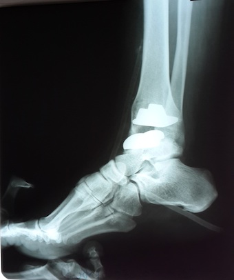
Taric – implantcast GmbH

სიახლეებიBy davidgabunia05/12/2013

კიდევ ერთი წარმატებული ოპერაცია, გერმანული კომპანია implantcast-ის კოჭ-წვივის იმპლანტით ჩანაცვლდა დაზიანებული…

Copyright © 2004-2023 · GMSGROUP.GE · All Rights Reserved
  • მთავარი
  • კომპანია
    • კომპანიის მოვლენები
    • კორპორაციული გაზეთი
  • სიახლეები
  • პარტნიორები
  • ლექსიკონი
  • კონტაქტი
Main Menu Geo
Go to Top